Forum on the Virtual Health Hub – Forum, November 14, 2025
https://malmic.ca/wp-content/uploads/2025/11/Joey-Remote-Healthcare-copy.jpg 1000 630 MaLMIC - Machine Learning in Medical Imaging Consortium MaLMIC - Machine Learning in Medical Imaging Consortium https://malmic.ca/wp-content/uploads/2025/11/Joey-Remote-Healthcare-copy.jpgListen in to two exciting talks from the Virtual Health Hub, which explored how artificial intelligence and virtual care are transforming access to healthcare.
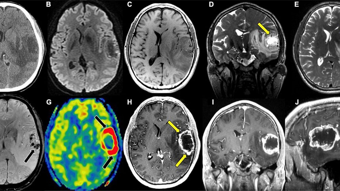
Dr. Scott Adams examined how AI-assisted imaging is redefining medical imaging and expanding access to advanced diagnostics in underserved communities. He also showcased current projects demonstrating how AI can support a more connected, equitable, and sustainable health system.
Dr. Ivar Mendez focused on how virtual care, when grounded in local partnerships and cultural safety, can improve health outcomes in rural, remote, and Indigenous communities. He highlighted the AI tools developed to enable scalable virtual care solutions across Canada and beyond.











