Forum on the Virtual Health Hub – Forum, November 14, 2025
https://malmic.ca/wp-content/uploads/2025/11/Joey-Remote-Healthcare-copy.jpg 1000 630 MaLMIC - Machine Learning in Medical Imaging Consortium MaLMIC - Machine Learning in Medical Imaging Consortium https://malmic.ca/wp-content/uploads/2025/11/Joey-Remote-Healthcare-copy.jpgJoin us for our upcoming forum featuring two exciting talks from the Virtual Health Hub, exploring how artificial intelligence and virtual care are transforming access to healthcare.
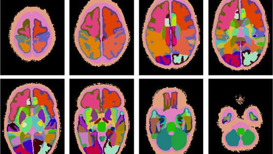
Dr. Scott Adams will examine how AI-assisted imaging is redefining medical imaging and expanding access to advanced diagnostics in underserved communities. He will showcase current projects demonstrating how AI can support a more connected, equitable, and sustainable health system.
Dr. Ivar Mendez will focus on how virtual care, when grounded in local partnerships and cultural safety, can improve health outcomes in rural, remote, and Indigenous communities. He will highlight the AI tools developed to enable scalable virtual care solutions across Canada and beyond.



